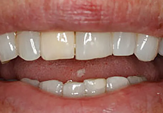
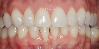
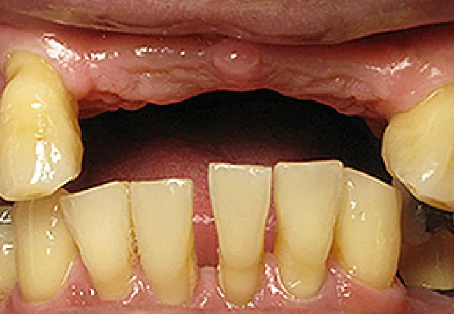
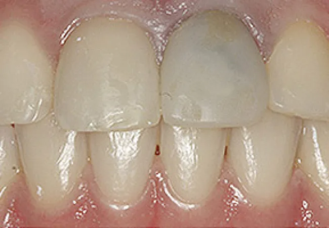
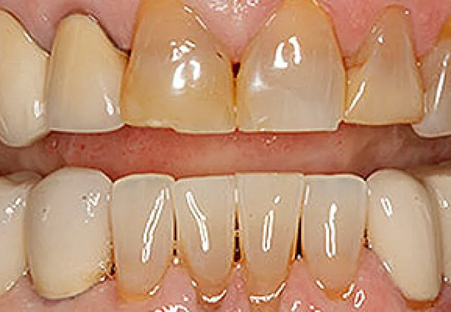
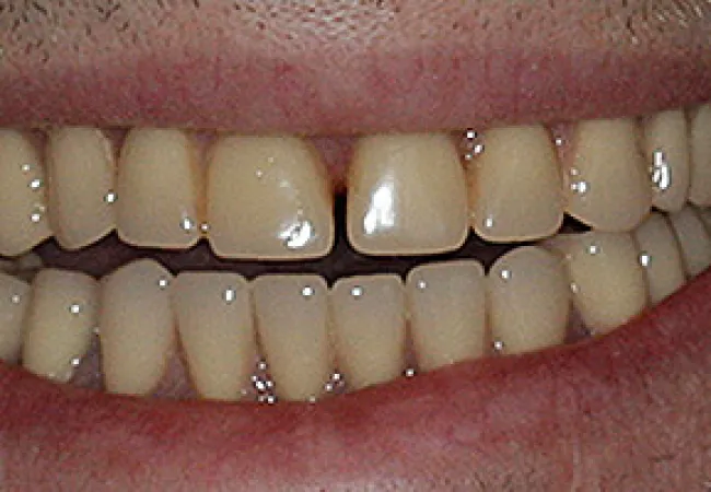
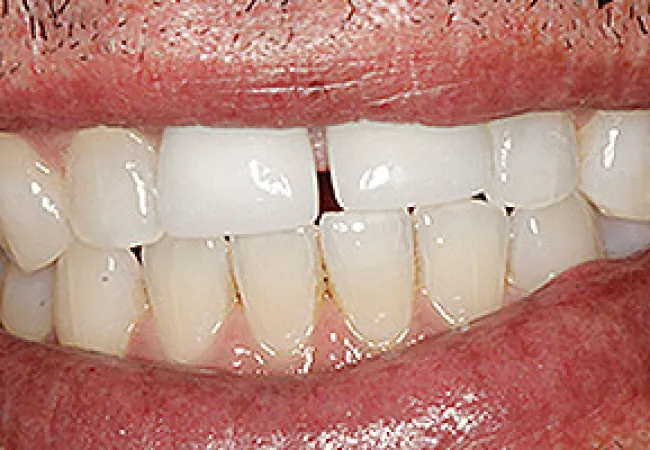
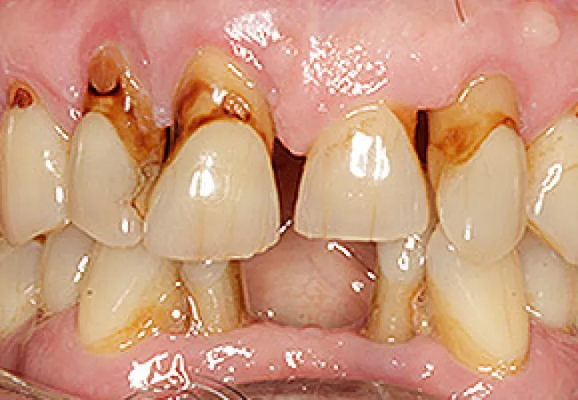
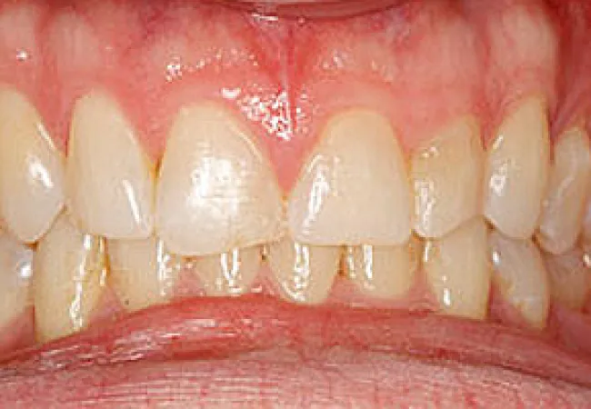
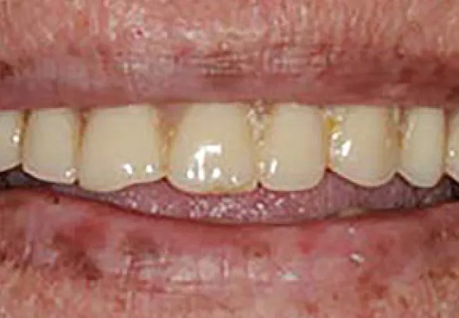
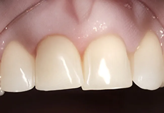
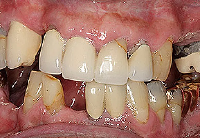
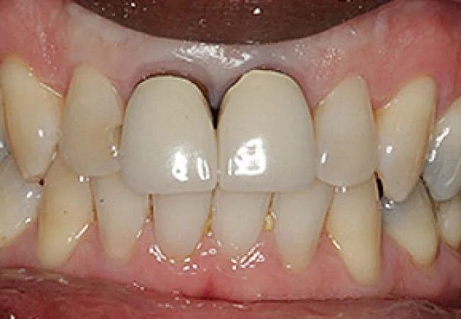
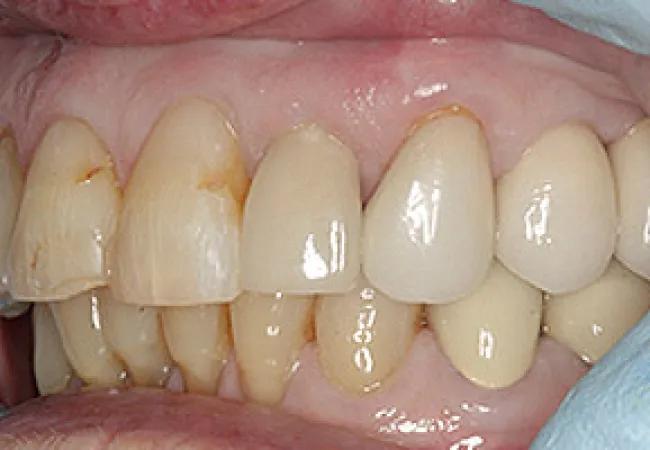
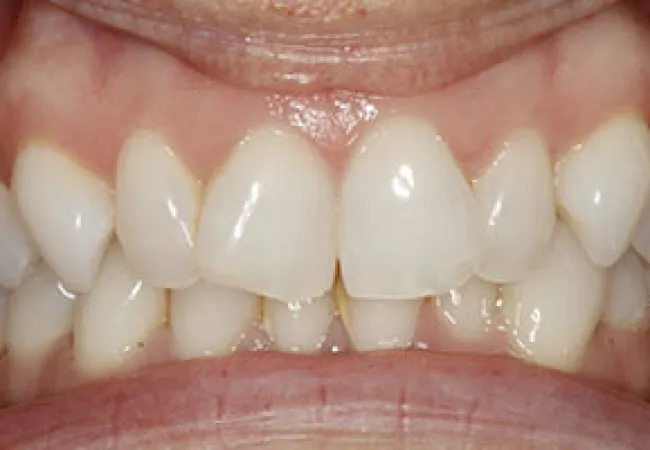
E. G. (Verified Patient)
i could not be happier with my care at Shook Dental Care. Dr. Shook and her staff are professional, caring and always have the patient’s best interest at heart. It is such a pleasure having such nice people to be looking out for my well-being.
