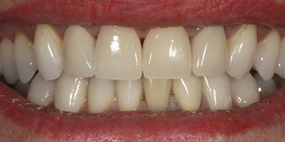
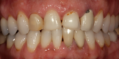
S. M. (Verified Patient)
Dr. Shook is the best dentist in the LA area. A true dental artist. Only wants the best for her patients to have fabulous looking teeth. Been a patient for many years. Two thumbs up. Bravo, Dr. Victoria Shook 🙂 Friendly Staff <3
